TạiTrung tâm Tim mạch – Đột quỵ – Điện quang can thiệp Bệnh viện Đa khoa Hùng Vương, hai cuộc can thiệp cấp cứu đã diễn ra liên tiếp trong ngày mùng 3 Tết.
Ca thứ nhất – Nhồi máu cơ tim cấp ST chênh lên vùng trước rộng

Bệnh nhân nam, 62 tuổi, vào viện vì đau ngực trái giờ thứ nhất.
Chẩn đoán xác định: Nhồi máu cơ tim cấp ST chênh lên vùng trước rộng – tình trạng tối cấp cần tái tưới máu khẩn cấp.
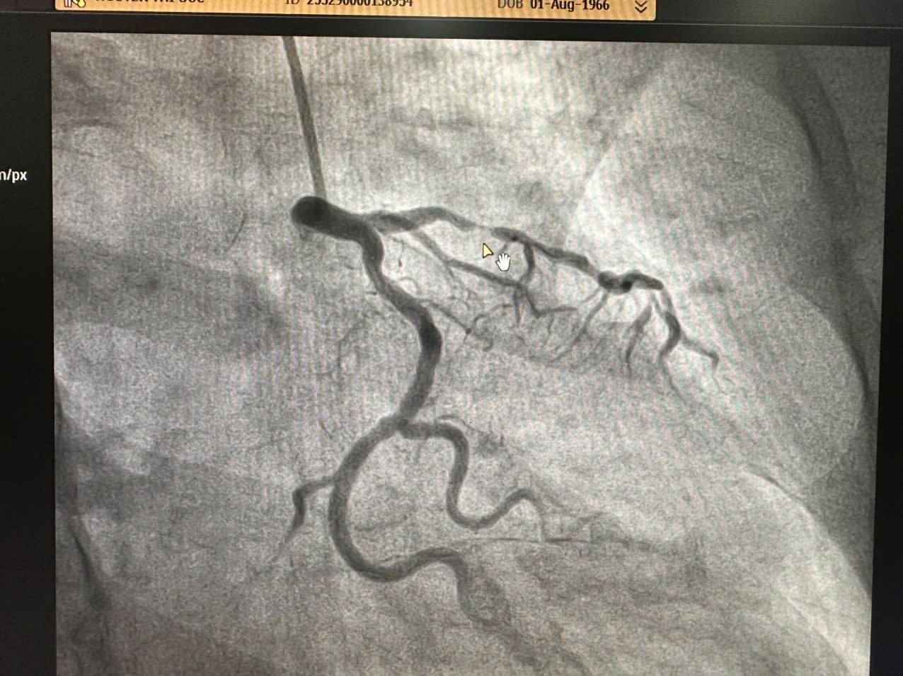
Chụp mạch vành qua da ghi nhận:

Ê-kíp can thiệp đã tiến hành đặt 01 stent tái tưới máu thành công.
Sau can thiệp: mạch vành tái thông tốt, huyết động ổn định, bệnh nhân được chuyển về Khoa Tim mạch tiếp tục theo dõi.
Ca thứ hai – Nhồi máu cơ tim cấp không ST chênh lên
Bệnh nhân nữ, 60 tuổi, nhập viện vì đau ngực kiểu vành.
Xét nghiệm men tim tăng nhanh (12 → 60), chẩn đoán: Nhồi máu cơ tim cấp không ST chênh lên (NSTEMI).
Chụp mạch vành qua da cho thấy tổn thương nặng nhánh động mạch liên thất trước. Ngay sau đó, êkíp can thiệp tiếp tục đặt 01 stent tái tưới máu thành công. Kết quả sau can thiệp: dòng chảy mạch vành được khôi phục tốt, bệnh nhân ổn định và đã chuyển về Khoa Tim mạch điều trị tiếp.

Từ cấp cứu – chẩn đoán – hội chẩn – phòng can thiệp, tất cả được vận hành trong một quy trình liền mạch, khẩn trương và chính xác.
Mỗi phút trôi qua trong nhồi máu cơ tim là hàng triệu tế bào cơ tim bị tổn thương. Và trong những giờ phút quyết định ấy, đội ngũ y bác sĩ Tim mạch Hùng Vương vẫn vững vàng nơi tuyến đầu, không nghỉ Tết, không chậm trễ trước sự sống.

Mùng 3 Tết – hai cuộc can thiệp thành công.
Bệnh viện Đa khoa Hùng Vương – Không nghỉ Tết. Không chậm trễ để bảo vệ sự sống. 
Đừng bao giờ xem nhẹ những cơn đau tức ngực khó chịu. Hãy đến ngay cơ sở y tế gần nhất để được các y bác sĩ thăm khám và hỗ trợ kịp thời. Hãy luôn lắng nghe cơ thể mình nha!
