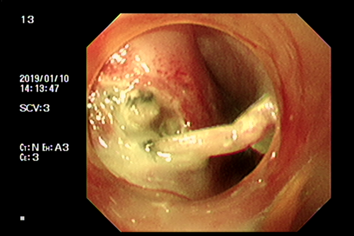
Bệnh nhân đến viện khi ở nhà xuất hiện chảy máu mũi và khó thở nhiều ngày nay dù đã dùng thuốc những không đỡ. Qua thăm khám thì được biết cách đây 03 tuần bệnh nhân có lần đi chơi xa và đã ở trong rừng chơi một ngày, sau khi về nhà bệnh nhân có hiện tượng khó thở và chảy máu cam. cảm giác khó thở tăng dần theo từng ngày. Ở nhà nghe lời người nhà bệnh nhân chỉ dùng thuốc nam vì nghĩ là viêm mũi họng thông thường. Nhưng sau khi dùng thuốc thì cảm giác khó chịu trong mũi không những không đỡ mà càng tăng dần , theo lời bệnh nhân kể lại thì vài ngày trước khi đến viện thì ở nhà bệnh nhân chỉ thở được bằng một mũi. Điều này cũng dễ hiều vì sau khi "cư ngụ " ở trong mũi bệnh nhân thì con vắt rất có thể chỉ là một ấu trùng và được " nuôi dưỡng đầy đủ " nên kích thích của con vắt to dần và gây bít tắc một bên mũi.
.bmp)
Hình ảnh chú vắt co kt ~ 2cm được lấy ra từ mũi bệnh nhân Trung
Thời tiết lạnh giá dường như không làm chùn bước những thanh niên muốn tìm cảm giác được nhìn tuyết ở Sa Pa hay được trải nghiệm những điều kỳ thú của núi rừng Việt Nam. Tuy nhiên với mỗi người nên chuẩn bị hành trang một cách cẩn thận và những thuốc thiết yêu khi tham gia đi phượt để tránh những rủi ro không đáng có gặp phải.
.
